Los investigadores han identificado proteínas quinasas cuyo estado funcional puede prevenir la evolución del cáncer

CNIO descubre una fórmula para detectar el cáncer de mama triple negativo
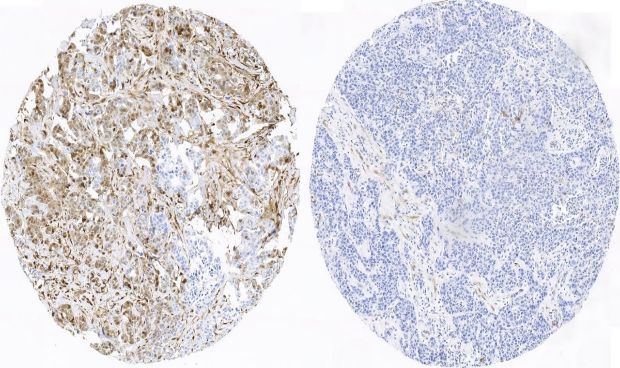
Tejido mamario en cáncer de mama.


SE LEE EN 6 minutos
POR REDACCIÓN
A partir de nueva investigación realizada por el Centro Nacional de Investigaciones Oncológicas (CNIO) se han identificado seis proteínas quinasas cuyo estado funcional predice la evolución del cáncer de mama triple negativo. Es, este último, uno de los tumores menos frecuentes, pero uno de los más agresivos y difíciles de tratar. 

El estudio de los investigadores, publicado en la revista Nature Communications, muestra que las pacientes en que las seis quinasas están inactivas tienen una alta probabilidad de curarse. En cambio, si cualquiera de estas quinasas está activa, el riesgo de recaída se multiplica por diez.

Hasta ahora, en este tipo de cáncer, no ha sido posible identificar marcadores que permitan clasificar a las pacientes según su pronóstico o su probabilidad de responder a varios tratamientos. En su estudio, han publicado una clasificación exitosa de pacientes de cáncer de mama triple negativo que, por primera vez, discrimina a las que se curan de las que podrían recaer.

Futura prueba clínica


Además, han hallado la manera de que el estudio de estas proteínas pueda hacerse en los hospitales, de forma que en el futuro sea una prueba clínica tan habitual como lo es hoy el análisis del perfil genético de cualquier tumor.

En este sentido, el oncólogo Miguel Ángel Quintela, director de la Unidad de Investigación Clínica de Cáncer de Mama del CNIO y autor principal de la investigación, explica que "hasta ahora no ha sido posible establecer una relación entre la presencia de determinadas mutaciones en cáncer de mama triple negativo y un pronóstico, o la respuesta a fármacos" y añade que se ha demostrado "por primera vez que la proteómica puede ser usada para predecir la evolución del cáncer de mama triple negativo, y para seleccionar combinaciones de parejas de fármacos candidatos a ensayos clínicos".

Los investigadores también reconocen que  el cáncer de mama triple negativo se debe a numerosas mutaciones, que actúan conjuntamente y en combinaciones únicas para cada paciente. No ha sido posible, por ahora, hallar mutaciones genéticas dominantes que sirvan como indicador de pronóstico o de respuesta a fármacos.

Y por elo explican que "si bien los estudios basados en la genética han proporcionado un conocimiento sin precedentes acerca del cáncer de mama y sus subtipos, en el cáncer de mama triple negativo esta novedosa información ha revelado una gran heterogeneidad que ha impedido, hasta ahora, definir factores pronósticos o predictivos". "Esto hace que la quimioterapia convencional siga siendo la principal opción terapéutica en el cáncer de mama triple negativo", indican.

Sistema de clasificación


Por eso, consideran que "sería de gran interés" en este tipo de cáncer un sistema de clasificación asociado a opciones terapéuticas diversas, escriben los autores. Con este objetivo, los investigadores del CNIO optaron por analizar no los genes implicados en el cáncer de mama triple negativo, sino su producto: las proteínas cuya síntesis ordenan esos genes.

En la elaboración de su hipótesis plantearon que muchas de las alteraciones genéticas de los pacientes podrían traducirse en patrones reconocibles de los estados funcionales (la activación o no) de todas las proteínas del tumor, su proteoma. Tras varias pruebas a partir de muestras de tumores de 34 pacientes, los investigadores buscaron las marcas bioquímicas de la activación de las proteínas del tumor y hallaron más de dos millones, pero con la ayuda de sofisticadas herramientas bioinformáticas detectaron que, entre todas estas señales, hay una combinación precisa que se da solo en las pacientes que recaen.

La activación de estas proteínas se hace a través de las quinasas (que son a su vez proteínas), así que el paso siguiente fue encontrar las quinasas de las que depende ese patrón específico. Finalmente, el análisis identificó a las seis quinasas responsables del patrón de activación característico del proteoma de las pacientes que recaen.

Posibilidad de recaída 


Tras validar los resultados con 170 pacientes, los investigadores han confirmado el valor de las seis quinasas como marcador. Aquellos pacientes en que ninguna de estas proteínas estaban activas tenían un 95 por ciento probabilidad de curarse, o al menos de no haber recaído doce años después del tratamiento. En cambio, bastaba con que solo una de las seis quinasas estuviera activa para que el riesgo de recaída se multiplicara por diez.

Según los científicos, estas seis quinasas se pueden inhibir farmacológicamente, y contra algunas de ellas ya hay fármacos en uso. Es más, para probar la relevancia clínica de su hallazgo, estudiaron en xenoinjertos, y en xenoinjertos derivados de pacientes (tumores procedentes de pacientes trasplantados a ratones), la actividad antitumoral de 15 combinaciones distintas de fármacos, y la relacionaron con el perfil de activación de las seis quinasas.

Hallaron combinaciones en que se consiguió una "prometedora actividad antitumoral". En concreto, 15 combinaciones en diez modelos diferentes (150 situaciones) lograron un efecto terapéutico superior al de la suma de los efectos terapéuticos de cada fármaco por separado en el 99,3 por ciento de los casos.


Objetivos a corto plazo 


El análisis del estado funcional de las proteínas no puede hacerse hoy de manera rutinaria en los hospitales, pero los autores han traducido los patrones de activación de las quinasas a indicadores de
inmunohistoquímica, que sí pueden analizarse fácilmente en los hospitales.

El objetivo es que el estudio de las seis quinasas identificadas sea en el futuro una prueba clínica tan habitual como lo es hoy el análisis del perfil genético de cualquier tumor. Actualmente, los investigadores se centran en "validar estos marcadores en otros estadíos de su enfermedad, estandarizar las determinaciones de las quinasas a modo de test diagnóstico y en organizar ensayos clínicos utilizando las combinaciones terapéuticas descritas en este trabajo en pacientes con enfermedad avanzada", concluye Quintela.
Las informaciones publicadas en Redacción Médica contienen afirmaciones, datos y declaraciones procedentes de instituciones oficiales y profesionales sanitarios. No obstante, ante cualquier duda relacionada con su salud, consulte con su especialista sanitario correspondiente.