Investigadores descubren que la proteína SOD3 favorece la entrada de linfocitos que destruyen células tumorales

Un biomarcador predice la eficacia de la inmunoterapia en cáncer
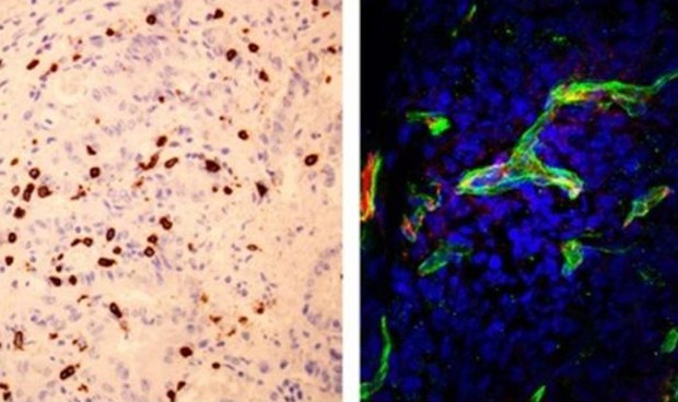
A la izquierda, Linfocitos citotóxicos (en marrón) infiltrados en un tumor colorectal con altos niveles de SOD3. A la derecha, imagen microscópica de células tumorales.


SE LEE EN 4 minutos
Un equipo de investigadores ha descubierto un biomarcador (la proteína SOD3) que puede ayudar a los médicos a predecir la eficacia que tendrán los tratamientos de inmunoterapia en algunos casos de cáncer. Los niveles de esta proteína determinan la tasa de recaída y la supervivencia de pacientes con cáncer de colon en fases tempranas, según ha informado hoy el Consejo Superior de Investigaciones Científicas (CSIC).

El estudio ha revelado que esa proteína favorece la entrada específica de linfocitos que destruyen células tumorales, y los investigadores han observado que ese factor podría utilizarse como marcador del pronóstico y evolución del tratamiento con inmunoterapia en otros tipos de cáncer.


"El aumento de SOD3 en el microambiente tumoral permitiría un cambio en los vasos sanguíneos del tumor"


Durante el desarrollo de tumores se produce una competición entre el sistema inmune del paciente, que trata de eliminarlos, y las propias células tumorales, que desarrollan estrategias de evasión, ha precisado el CSIC en una nota de prensa.

En algunos casos, con tratamientos de inmunoterapia, se han conseguido grandes resultados, con remisiones completas de tumores en un estado avanzado. Sin embargo, aunque su potencial es grande, el número de pacientes que se benefician a largo plazo de la inmunoterapia es todavía bajo.

El CSIC ha recordado que el fallo de la inmunoterapia en esos pacientes se suele deber a la baja capacidad de algunos linfocitos del torrente sanguíneo de infiltrarse en el tejido tumoral y eliminar las células cancerígenas.

Un trabajo liderado por el CSIC 


El nuevo estudio multidisciplinar liderado por científicos del CSIC ha revelado la importancia de los niveles de la proteína Superóxido Dismutasa 3 (SOD3) para el acceso de los linfocitos al tejido tumoral.

El trabajo ha sido dirigido por los investigadores Santos Mañes y Emilia Mira, del Centro Nacional de Biotecnología (CNB-CSIC), quienes han descrito cómo esta proteína modifica la composición de la membrana basal sobre la que se asientan las células de los vasos sanguíneos y cómo se hace más permisiva al paso de los linfocitos que pueden eliminar las células cancerígenas.

La investigadora del CNB-CSIC Lorena Carmona-Rodríguez, coautora del estudio, ha señalado que "los niveles de SOD3 son altos en los tejidos sanos, pero muy bajos en la mayoría de los tumores".

"El aumento de SOD3 en el microambiente tumoral -ha precisado el investigador Diego Martínez-Rey, firmante también del trabajo- permitiría un cambio en los vasos sanguíneos del tumor haciéndolos más permeables para la salida de las células citotóxicas".

En colaboración con oncólogos y patólogos de los hospitales Clínico San Carlos y Gregorio Marañón, los investigadores han verificado que este mecanismo se produce también en tumores colorectales humanos.


Menor tasa de recaída


El tratamiento de los pacientes con cáncer de colon en estadío temprano consiste en la resección quirúrgica del tumor, aunque en algunos pacientes el tumor vuelve a reaparecer años más tarde.

En las muestras obtenidas de pacientes con cáncer los investigadores observaron una correlación positiva entre los niveles de esa proteína, la infiltración de linfocitos citotóxicos y una menor tasa de recaída de estos pacientes.


El 95% de pacientes con niveles altos de SOD3 en sus tumores no volvieron a padecer la enfermedad tras la cirugía


El 95 por ciento de los pacientes con niveles altos de SOD3 en sus tumores no volvieron a padecer la enfermedad tras la cirugía, mientras que el 40 por ciento de los que tenían niveles bajos de esa proteína sí sufrieron una recaída antes de los cinco años.

Los resultados sugieren que los niveles de SOD3 pueden ser utilizados como un biomarcador de buen pronóstico en cáncer de colon y su posible combinación con tratamientos basados en la inmunoterapia anti-tumoral.

Los resultados se han publicado en Journal for ImmunoTherapy of Cancer, y además de los científicos del CNB-CSIC y de oncólogos y patólogos de los hospitales Clínico San Carlos y Gregorio Marañón de Madrid, en la investigación han participado investigadores del Instituto de Investigaciones Biomédicas Alberto Sols de la Universidad Autónoma de Madrid y de la empresa bioinformática sevillana Caebi. 
Las informaciones publicadas en Redacción Médica contienen afirmaciones, datos y declaraciones procedentes de instituciones oficiales y profesionales sanitarios. No obstante, ante cualquier duda relacionada con su salud, consulte con su especialista sanitario correspondiente.