Varias asociaciones españolas signan un documento de posicionamiento para lograr fármacos de primera línea

Los especialistas españoles exigen fármacos para la tuberculosis infantil
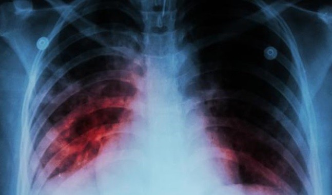
La enfermedad de tuberculosis.


SE LEE EN 3 minutos
Actualmente, el niño con tuberculosis (TB) requiere un tratamiento que es largo, tedioso y supone un reto para los padres y cuidadores. La falta de adherencia al mismo es una de las principales causas de fracaso terapéutico, que conlleva mayor morbilidad, potencial aparición de resistencias y perpetuación del riesgo de contagio en la comunidad. En los últimos años, la OMS y Unicef  han impulsado el desarrollo de comprimidos dispersables de dosis fija (CDFp) que incluyen combinaciones de los fármacos antiTB orales de primera línea, de características organolépticas agradables para los niños.

En España, los niños infectados o enfermos de tuberculosis no pueden beneficiarse de los CDFp que ya están disponibles en el resto del mundo. La Sociedad Española de Infectología Pediátrica (SEIP), la Sociedad Española de Neumología Pediátrica (SENP), la Asociación Española de Pediatría (AEP), la Sociedad Española de Neumología y Cirugía Toracica (Separ), Sociedad Española de Enfermedades Infecciosas y Microbiología Clínica (Seimc), la Fundación de la Unidad de Investigación en Tuberculosis de Barcelona (Fuitb) y la Sociedad Española de Farmacia Hospitalaria solicitan a través de un documento de posicionamiento a las autoridades sanitarias que faciliten los trámites para la importación de los CDFp hasta que estas presentaciones sean autorizadas por las Agencias Europea (EMA) y Española del Medicamento (Aemps). 

Desde el Grupo de Trabajo de Tuberculosis de la Sociedad Española de Infectología Pediátrica (SEIP) y la Red Nacional para el Estudio de la Tuberculosis Pediátrica (pTBred), se ha intentado importar los CDFp en distintas ocasiones en los últimos años. A pesar de la buena disposición de la Agencia Española de Medicamentos y Productos Sanitarios y de la delegación de McLeods en Europa, esto no ha sido posible, fundamentalmente por factores regulatorios y económicos.

Tuberculosis, la enfermedad infecciosa más mortal de la historia


La tuberculosis, enfermedad causada por la bacteria Mycobacterium tuberculosis, ha causado más muertes que ninguna otra enfermedad infecciosa a lo largo de la historia y se estima que en los últimos dos siglos ha costado la vida a más de mil millones de personas.

Actualmente causaría, cada día, unos 28.000 nuevos casos (10 millones/año) y 4000 muertes (1,5 millones/año) y, de estas, un 20 por ciento en niños. La TB es una enfermedad asociada a la pobreza, uno de los mayores azotes de la humanidad y la principal causa infecciosa de muerte entre las personas con el virus de la inmunodeficiencia humana (VIH).
Las informaciones publicadas en Redacción Médica contienen afirmaciones, datos y declaraciones procedentes de instituciones oficiales y profesionales sanitarios. No obstante, ante cualquier duda relacionada con su salud, consulte con su especialista sanitario correspondiente.