Reclama el restablecimiento de los circuitos de diagnóstico rápido en Atención Primaria para detectar la enfermedad

Covid: Separ avisa del retraso diagnóstico en fibrosis pulmonar idiopática


SE LEE EN 5 minutos
La Sociedad Española de Neumología y Cirugía Torácica (Separ) ha advertido de que la pandemia de Covid-19 ha condicionado un "retraso diagnóstico" en el último año en fibrosis pulmonar idiopática (FPI) y de linfangioleiomiomatosis (LAM), lo que conlleva peor pronóstico, tras "años trabajando para mejorar el diagnóstico rápido".

A través de un comunicado, la sociedad científica advierte que, de persistir esta situación, los pacientes con FPI o LAM "pueden llegar en fase avanzada de la enfermedad avanzada a las consultas neumológicas especializadas y, por tanto, con menos opciones terapéuticas dirigidas a la enfermedad". Separ hace esta advertencia con motivo del Día Mundial de las Enfermedades Raras, que se celebra este 28 de febrero bajo el lema 'La investigación es nuestra esperanza'.

DIRECTO | Última hora y novedades sobre el coronavirus Covid-19

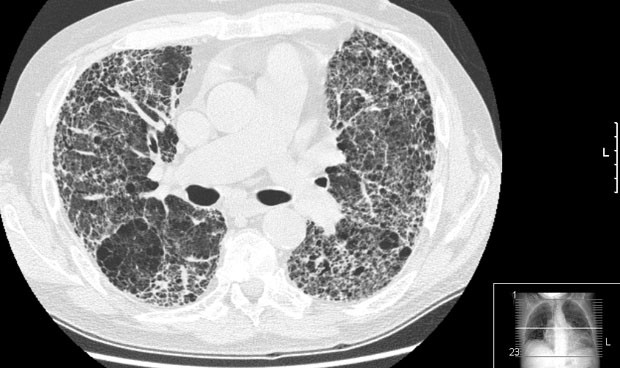
La FPI afecta a 10 personas por cada 100.000 habitantes, más a hombres que a mujeres, especialmente mayores de 60 años. Se produce por una reparación anómala del pulmón que provoca una cicatriz (fibrosis). Se llama "idiopática" porque "hasta ahora no se ha podido identificar el agente causal inductor del daño pulmonar inicial". "Aun así, en los últimos años hemos mejorado en el conocimiento de la patogenia de esta enfermedad y han aparecido tratamientos antifibróticos que antes no existían y que nos han permitido mejorar la expectativa de vida de estos pacientes", explica María Molina, neumóloga y directora del PII-EPID (acrónimo de Programa Integral de Investigación de las EPID), de Separ.


"Nos están llegando casos en fases muy avanzadas, con un deterioro que no veíamos desde hace una década"


Actualmente, "la pandemia de Covid-19 ha tenido un efecto negativo en el manejo de estos pacientes". "Nos están llegando casos en fases muy avanzadas, con un deterioro que no veíamos desde hace una década, debido al colapso asistencial de Atención Primaria y Neumología hospitalaria. Hay que volver a poner en marcha estos circuitos de diagnóstico rápido cuanto antes para enfermedades graves como la FPI o la LAM, entre otras", remarca Molina.

"El problema es que no se ha invertido lo suficiente en recursos humanos en la atención primaria, con la pandemia de Covid-19 se ha evidenciado y nos encontramos con casos de FPI desatendidos, porque los recursos humanos se dedican al Covid-19. Cuando la fibrosis pulmonar se diagnostica en una fase correcta, podemos ofrecer el tratamiento óptimo que modifica el curso natural de la enfermedad. Cuando se diagnostica en una fase avanzada la supervivencia media es menor de 5 años. Todo depende de en qué fase llegue el paciente al especialista, es decir, si llega a tiempo de recibir los tratamientos modificadores de la enfermedad o no y con o sin opción de trasplante", explica la doctora.

Junto al retraso diagnóstico, en el contexto actual de pandemia, los pacientes con FPI tienen un problema adicional: un reciente estudio publicado demuestra que los pacientes con FPI que contraen Covid-19, especialmente los no tratados con antifibróticos, tienen más del doble de riesgo de muerte intrahospitalaria que los pacientes de la población general.


Ha habido avances en la LAM 


La LAM afecta a mujeres en edad fértil. Tienen síntomas como disnea de esfuerzo y dolor torácico en casos que presentan neumotórax, al drenar aire de los quistes a la pleura. Por ello, en caso de neumotórax en una mujer, se debe descartar esta enfermedad. "El problema es que es tan ultrarrara que ni médicos ni pacientes piensan en esta posibilidad", comenta Molina. En los últimos años ha habido avances en investigación, pues se ha visto que la señalización mTOR está alterada y esto hace que la célula LAM prolifere de forma anómala. Tras años de estudio, se ha conseguido aplicar la rapamicina como tratamiento para disminuir o enlentecer la progresión de la enfermedad.

Este medicamento está especialmente indicado con deterioro de FEV-1 o angiomiolipomas en el abdomen. Gracias a este avance terapéutico, se ha conseguido alargar la supervivencia de las pacientes más de 10 años, cuando antes, a los pocos años del diagnóstico ya necesitaban trasplante. Asimismo, se va a impulsar el reclutamiento de pacientes, junto con AELAM, para un ensayo clínico nacional con loratadina (antagonista del receptor H1) para comprobar si mejora el efecto de la rapamicina.

En cuanto al diagnóstico en LAM, ha mejorado con métodos menos agresivos que la biopsia pulmonar quirúrgica, como la criobiopsia transbronquial o métodos analíticos (uso del marcador VEGF-1). "Pero las pacientes con LAM también necesitan que se activen los circuitos de diagnóstico rápido otra vez, porque a menudo reciben otros diagnósticos y tratamientos fútiles, con efectos secundarios, en el recorrido que realizan hasta llegar a una Unidad EPID para el diagnóstico de confianza de esta enfermedad", apostilla Molina.

Las informaciones publicadas en Redacción Médica contienen afirmaciones, datos y declaraciones procedentes de instituciones oficiales y profesionales sanitarios. No obstante, ante cualquier duda relacionada con su salud, consulte con su especialista sanitario correspondiente.