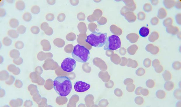
Immuno-flowFISH permite ver los cromosomas a través de un microscopio

Una nueva técnica detecta en la sangre los cambios genéticos de la leucemia
Según sus autores, la técnica permitirá hacer exámenes patológicos personalizados para esta enfermedad.


SE LEE EN 1 minuto
Investigadores australianos han desarrollado un nuevo método, altamente sensible, para detectar los cambios genéticos en las células vinculadas a la leucemia. Se conoce como Immuno-flowFISH y permite ver los cromosomas y todas las células que causan esta enfermedad a través de un microscopio incorporado al instrumental con el que se realiza el test.

La técnica detecta en la sangre los cambios genéticos en los pacientes con leucemia y permite analizar más de 20.000 células en un solo examen. La investigación ha sido publicada en la revista Methods.

“El citómetro de imágenes puede analizar muestras a una velocidad de hasta 2.000 células por segundo”, ha señalado Kathy Fuller, del Laboratorio Patológico de Cáncer Transicional de la Universidad de Australia Occidental. Esta velocidad permite investigar una gran cantidad de células en un periodo de tiempo relativamente corto y con una mayor sensibilidad. 

Wendy Erber, coautora del estudio, ha explicado que este sistema permitirá hacer exámenes patológicos personalizados de la leucemia y “mejorará significativamente la capacidad de identificar cambios genéticos en las células cancerígenas”.

Los investigadores desarrollaron y aplicaron el método Immuno-flowFISH para estudiar la leucemia linfocítica crónica, que es la más común en Australia y afecta a un tres por ciento de la población mayor de 60 años.
Las informaciones publicadas en Redacción Médica contienen afirmaciones, datos y declaraciones procedentes de instituciones oficiales y profesionales sanitarios. No obstante, ante cualquier duda relacionada con su salud, consulte con su especialista sanitario correspondiente.