Una investigación internacional, dirigida por el investigador Isidro Sánchez García del Centro de Investigación del Cáncer (CIC-Ibmcc, centro mixto de la Universidad de Salamanca y del CSIC), muestra que la expresión condicional de HGAL conduce al desarrollo de linfoma difuso de células B grandes en ratones.
Este estudio, que ha sido desarrollada por científicos de Estados Unidos y España, y cuyos resultados han sido publicados en la revista Blood, reproduce por primera vez la patología del linfoma difuso de células grandes con un único evento oncogénico en ratón.
Los linfomas difusos de células B grandes son tumores clínica y genéticamente heterogéneos. La génesis de linfomas está causada por la desregulación de diversos procesos biológicos específicos de las células B, como el receptor de células B (BCR), como la regulación de la señalización y la motilidad.
Teniendo estos factores en cuenta, HGAL tiene una gran relevancia para explicar las causas últimas que originan este tipo de tumor. El protagonismo se debe a que esta proteína controla la señalización de BCR y la motilidad de los linfocitos B. No sólo interesa identificar las funciones, sino también saber ubicarlas dentro del complejo mecanismo de nuestro sistema inmune; en las células B normales HGAL se expresa en linfocitos B del centro germinal.
Origen de los linformas difusos de células B grandes
La relevancia de HGAL en la investigación también se debe a que la mayoría de los linfomas difusos de células B grandes expresan HGAL. Por ello, aunque estos tumores sean heterogéneos desde el punto de vista genético tienen factores comunes que pueden facilitar a la comunidad científica a desentrañar el origen de este tipo de linfomas.
Teniendo en cuenta estos datos y el interés del grupo dirigido por Isidro Sánchez-García para comprender la génesis de determinados tipos de tumores, han investigado las consecuencias de expresión de HGAL in vivo. La metodología seguida ha sido generar ratones que expresan la HGAL humana en diferentes etapas del desarrollo hematopoyético.
En concreto, las etapas analizadas fueron el inicio de la expresión de HGAL bien en células madre hematopoyética bien en células pro-B o bien directamente en células B centro germinal. De este modo pudieron constatar que los tres tipos de ratón desarrollaron linfomas difusos de células B grandes con una frecuencia entre el doce al treinta por ciento a partir de los trece meses de edad, y tuvieron una supervivencia más corta.
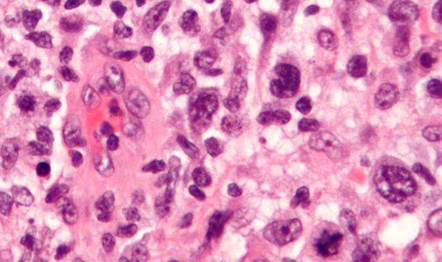
Posteriormente, mediante técnicas de diagnóstico (empleadas no sólo en la asistencia médica, sino también en investigación), como son los estudios inmunohistoquímicos, el grupo de investigación concluyó que todos los tumores analizados eran del tipo de células B centro germinal. Además, en las muestras de ratón se han detectado mutaciones presentes en las muestras humanas de linfomas difusos de células B grandes.
REGÍSTRATE GRATIS
PARA SEGUIR LEYENDO
¿Ya eres premium? Inicia sesión
Aviso importante
El usuario desde el que está intentando acceder a este contenido no está registrado como profesional autorizado para acceder a esta información. Esta noticia informa sobre novedades farmacológicas y, por ley, está reservada a profesionales de la salud habilitados para la prescripción o dispensación de medicamentos.
Volver a la portada de Redacción Médica
Las informaciones publicadas en Redacción Médica contienen afirmaciones, datos y declaraciones procedentes de instituciones oficiales y profesionales sanitarios. No obstante, ante cualquier duda relacionada con su salud, consulte con su especialista sanitario correspondiente.