Un estudio realizado en China ha concluido que se pueden volver a contagiar aunque hayan recibido la dosis de refuerzo

Las personas infectadas con Ómicron pueden reinfectarse con subvariantes
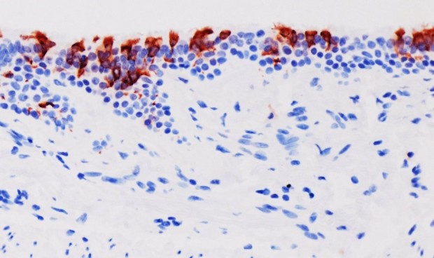
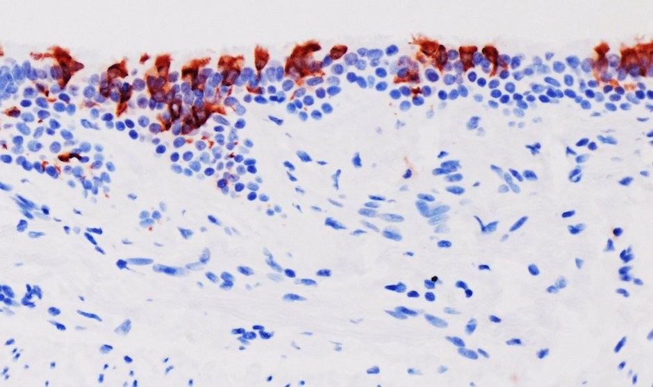
La variante omicrón del SARS-CoV-2 (en rojo) infectando tejidos de bronquios humanos.


SE LEE EN 4 minutos
Las personas infectadas con Ómicron en la sexta ola están expuestas a poder reinfectarse con sus subvariantes. Un estudio del Biomedical Pioneering Innovation Center de la Universidad de Pekín (China) ha concluido que estas personas se podrían volver a contagiar incluso aunque hayan recibido la dosis de refuerzo.

En concreto, el estudio, publicado en la revista científica 'Nature' detalla que los vacunados e infectados con Ómicron BA.1 desarrollaron anticuerpos tanto contra esta subvariante como contra la cepa ancestral del virus, pero no así contra otras subvariantes como BA.4 o BA.5. Estas subvariantes son las que actualmente se están expandiendo con mayor rapidez, porque tienen algún mecanismo que les permite eludir esos anticuerpos. Son consideradas las más contagiosas  y, aunque no son más letales, pueden reinfectar a los contagiados de Ómicron.

Además, los investigadores alertan de que las nuevas vacunas en desarrollo contra el Covid-19, adaptadas a la variante Ómicron BA.1, "pueden no lograr una protección de amplio espectro contra las nuevas variantes de Ómicron". "Nuestros resultados indican que Ómicron puede evolucionar con mutaciones para evadir la inmunidad humoral provocada por la infección con BA.1", añaden.

Los expertos alertan que "nos debemos de preocupar relativamente". Ante esta situación, avisan de que las variantes son más transmisibles y más resistentes a las vacunas, por lo que habrá más infecciones tanto en personas vacunadas y personas que ya han pasado la infección.

Por otra parte, en cuanto a los tratamientos, el estudio esgrime que tanto bebtelovimab, de Lilly, como cilgavimab, que forma parte del fármaco ya aprobada 'Evusheld', de Astrazeneca, "todavía pueden neutralizar eficazmente BA.4 y BA.5", según las investigaciones que han llevado a cabo en laboratorio.

¿Cuánto tiempo pasa hasta la reinfección?


Ante este panorama, cada vez son más las investigaciones que intentan estimar el tiempo que transcurre desde la primera infección de Covid-19 hasta la reinfección, también con Ómicron. Un reciente estudio ha llegado a la conclusión de que la reinfección covid es "relativamente común" con las variantes Ómicron, lo que supone que la infección inicial no genera una inmunidad duradera.

Uno de los autores, Matt Keeling, explica en su artículo 'Patrones de infección y reinfección notificadas de SARS-CoV-2 en Inglaterra' donde ha investigado la evolución de los casos diagnosticados en el país que "los altos niveles de reinfección en la ola de Ómicron (estimamos que el 18 por ciento de todos los casos de esta variante se habían infectado previamente, aunque no necesariamente se habían informado) apuntan a eventos de reinfección que dominan la dinámica futura del Covid-19".

El tiempo entre el primer y segundo contagio covid es clave para entender la reinfección de Ómicron, ya que es diferente según la variante del momento. Este estudio determina que la separación temporal entre un contagio y otro es "mínima". Los datos muestran que con Ómicron era un 35 por ciento más probable reinfectarse tras más de 18 meses de la primera infección covid que si habían pasado menos de seis meses. No obstante, esta tendencia es la contraria a las anteriores variantes, como Alfa y Delta, cuando sí que la separación temporal era de pocos meses.

Una española con el récord de reinfección


Se cuentan por miles los españoles que se han reinfectado del covid, al menos, dos veces, aunque también hay casos que se han contagiado tres y cuatro veces. Sin embargo, es una sanitaria española la que registra el récord mundial de reinfección por covid.

En concreto, en un periodo de veinte días la trabajadora habría vuelto a dar positivo. Su primera infección, en diciembre de 2021, fue con la variante Delta, mientras que el segundo, en enero de 2022, fue con la variante Ómicron.

El primer positivo se detectó el 20 de diciembre de 2021 en una prueba de PCR durante la evaluación del personal en su lugar de trabajo. Tras esta primera infección, el 10 de enero de 2022, solo veinte días después de la primera prueba positiva, volvió a desarrollar síntomas compatibles con el covid como tos, fiebre y se sintió mal en general y se hizo otra prueba PCR, que también fue positiva.
Las informaciones publicadas en Redacción Médica contienen afirmaciones, datos y declaraciones procedentes de instituciones oficiales y profesionales sanitarios. No obstante, ante cualquier duda relacionada con su salud, consulte con su especialista sanitario correspondiente.