También fue capaz de diferenciar entre dos tipos distintos de tumor en casi 9 de cada 10 casos

Un algoritmo de Google ya detecta el cáncer de pulmón al 99%


SE LEE EN 1 minuto
POR REDACCIÓN
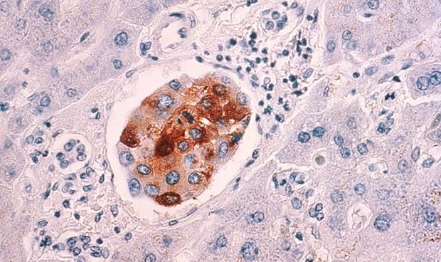
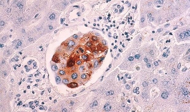
Un algoritmo de Google se ha demostrado capaz de distinguir entre los dos tipos de cáncer más comunes con una precisión del 97 por ciento, según un estudio llevado a cabo por investigadores de la Universidad de Nueva York publicado en Nature Medicine.

Inception v3 es un algoritmo de código abierto lanzado por el gigante tecnológico que fue entrenado con las imágenes de tejido canceroso y sano procedentes de The Cancer Genome Atlas.


Deep learning para diagnosticar enfermedades



Los investigadores buscarán la aprobación de la FDA para estandarizar la secuenciación de tumores


La herramienta de deep learning distinguió las células cancerosas de las sanas en un 99 por ciento de las ocasiones. Tras esta etapa, se le enseñó a diferenciar entre el adenocarcinoma y el carcinoma de células escamosas.

Probando el algoritmo con muestras independientes de pacientes con cáncer, la precisión disminuyó pero, aún así, diagnosticó de forma correcta entre el 83 y el 97 por ciento de los casos.

Los investigadores de la Universidad de Nueva York seguirán entrenando al sistema con datos procedentes de un número mayor de fuentes. Tras ello, buscarán la aprobación de la FDA para estandarizar la secuenciación de muestras de tumores en Estados Unidos.
Las informaciones publicadas en Redacción Médica contienen afirmaciones, datos y declaraciones procedentes de instituciones oficiales y profesionales sanitarios. No obstante, ante cualquier duda relacionada con su salud, consulte con su especialista sanitario correspondiente.