Hasta el momento, su eficacia es del 81,5 por ciento

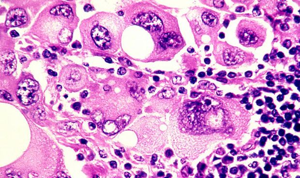
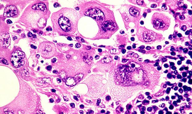
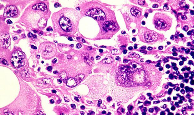
Un test sanguíneo detecta el melanoma en estadios tempranos
La prueba servirá para aquellas personas que tienen difícil acceder a un dermatólogo.


SE LEE EN 1 minuto
Científicos australianos han desarrollado el primer test para detectar en sangre el melanoma en estadios precoces. Los ensayos con 209 personas mostraron eficacia en el 81,5 por ciento de los casos.

El siguiente paso para estos investigadores, procedentes de la Universidad Edith Cowan, es realizar ensayos clínicos para validar sus hallazgos, con la esperanza de que esta prueba pueda ser comercializada dentro de entre tres y cinco años.


La prueba detecta 10 combinaciones de anticuerpos que produce el cuerpo como respuesta al tumor


Mel Zima, jefe del Grupo de Investigación del Melanoma en dicha universidad, ha dicho que este test tiene el potencial para salvar miles de vidas, así como beneficiar a la gente que vive en áreas rurales, donde es difícil acceder a un dermatólogo.

“Es crítico que el melanoma se diagnostique de la forma más temprana y precisa”, ha señalado. “Así que un test de sangre ayudaría en esa identificación, especialmente en estadios tempranos”.

Esta prueba funciona detectando 10 combinaciones de anticuerpos producidos por el cuerpo en respuesta al melanoma. El próximo paso es aumentar la sensibilidad del test, llevar a cabo ensayos clínicos más amplios y probas sus resultados frente a biopsia.
Las informaciones publicadas en Redacción Médica contienen afirmaciones, datos y declaraciones procedentes de instituciones oficiales y profesionales sanitarios. No obstante, ante cualquier duda relacionada con su salud, consulte con su especialista sanitario correspondiente.